セラミッククラウン|いせき歯科クリニック|JR丹波口駅から徒歩1分の歯科医院

〒600-8811京都府京都市下京区中堂寺坊城町16-3 グラン・ドムール丹波口1階

075-741-6642

WEB予約
下層メインビジュアル

セラミッククラウン

セラミッククラウン|いせき歯科クリニック|JR丹波口駅から徒歩1分の歯科医院

2025年12月15日

before

Before

after

After

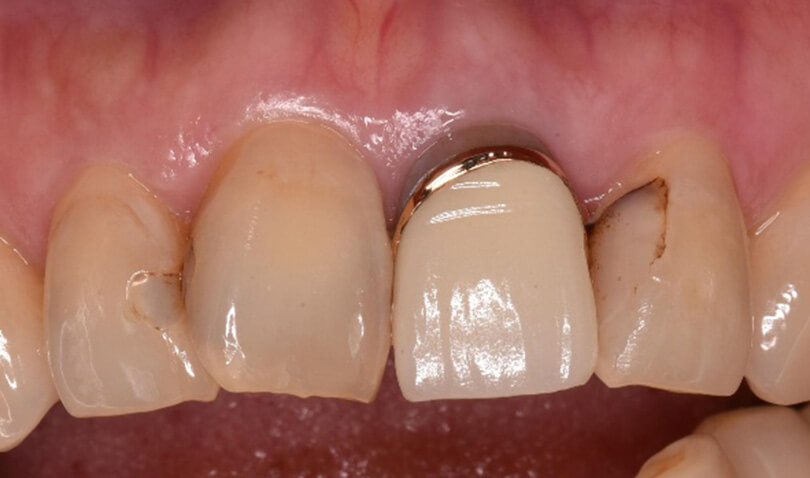
  • 症状・状態(主訴)
    前歯のかぶせ物の色が気になる
  • 治療内容
    左上1番 セラミッククラウン(前歯、ステイン法)
  • 治療期間・回数
    治療期間は約3か月。治療回数は6回。
  • 治療費用
    121,000円(税込)
  • 考えられるリスク・副作用
    咬み合わせによっては破損する恐れがあります。
  • 備考
    女性。60代。

前歯のかぶせ物を外し、仮歯に置き換えました。
その際に、顔との調和や笑った時の見え方などを精査し、最終的なかぶせ物を作る際の参考にしました。
見た目・機能ともに問題がないのを確認した上で、最終的なジルコニアのかぶせ物に置き換えました。

インプラント直後の様子

仮歯の時の状態

インプラント直後の様子

最終のかぶせ物の色を決めている写真

TOP